A 3D image showing some of the detailed findings of the anatomical structures overlaid on a mudskipper's body. Credit: Pavel Puchenkov, Fabienne Ziadi-Künzli/OIST, created with Blender (online community), http://www.blender.org
Okinawa's mangrove forests are home to many animal species, from crabs to kingfishers; they host a diverse ecosystem teeming with life. Among the quirkier residents living there is "Minami-Tobihaze"—the barred mudskipper.
"They are fish, but they can walk and live partly on land," says Dr. Fabienne Ziadi-Künzli from the Nonlinear and Non-equilibrium Physics Unit, who is the first author of a study on mudskipper anatomy, which was recently published in the Journal of Anatomy.
The barred mudskipper, scientifically called Periophthalmus argentilineatus, has more than just one oddity. Their eyes sit more on top than on the side of their heads, and despite having no lungs, these fish can breathe air.
"Mudskippers take up oxygen via their skin, which they always have to keep moist, or through their mouth," says Dr. Ziadi-Künzli. Sometimes, they even swallow a big mouthful of air and hold it there to bring it to their eggs. "They dig burrows in the mud and blow out the air inside to ensure their eggs get enough oxygen," explains Dr. Ziadi-Künzli.
Yet probably their most astounding adaptation to life on land is the ability to walk. "Our ancestors developed limbs and digits before they left the water, but we don't see this in these fish. Mudskippers are amphibious and still have fins that function for both swimming and walking," says Dr. Ziadi-Künzli. To move on land, the mudskippers mainly use the fins attached to the side of their bodies, which are called pectoral fins.
"Mudskippers have a unique way of moving, which has not been seen in any other living amphibious fish species. It is called crutching," says Dr. Ziadi-Künzli. Instead of moving their pectoral fins alternately, like humans use their legs when walking, the mudskippers swing their pectoral fins forward simultaneously, as we might do with crutches to take the weight off an injured leg.
Watch a mudskipper walking on Okinawa’s mangrove shore. Credit: Dr. Ken Maeda/OIST
A snapshot of evolution in progress
"It is kind of thrilling to think about these fish and how they walk. After Prof. Mahesh Bandi and his colleagues finished a study on how the specific shape of the human foot gives it the necessary stability to walk, we started wondering what morphological adaptations to movement on land we might see when studying the fins of the amphibious mudskipper," says Dr. Ziadi-Künzli. Driven by her scientific interest as a fish biologist, she delved into the literature on the topic.
Surprisingly, the last in-depth anatomical study on mudskipper fins was done in the 1960s and information about adaptations of the mudskipper's muscles and other soft tissues to life on land was scarce. With her experience in anatomical studies and access to micro-computed tomography (µCT) within the OIST Core Facilities, she and her colleagues decided to investigate the mudskippers' adaptations to life outside of the water themselves.
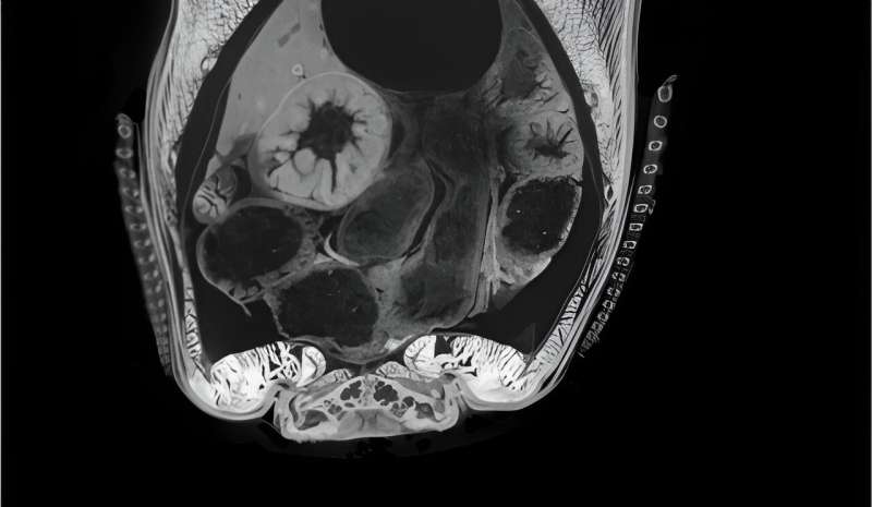
"The µCT has an X-ray source and a microscopic detector that picks up the signal. Because we were interested in soft tissue, we used iodine to give the soft tissue a better contrast on the images," explains Dr. Ziadi-Künzli.
With this method, the team imaged various fish, starting with the mudskipper and its close evolutionary relatives. For comparison, the researchers also scanned other fish, for example the zebrafish, which are only distantly related to the mudskipper.
With the initial imaging complete, the hardest part of the study was about to begin: The analysis of the thousands of separate images produced by the µCT. "We had to manually sort through all those images to identify each tissue. Basically, we have been working on the analysis since 2019," notes Dr. Ziadi-Künzli.
The researcher's tedious work eventually proved worthwhile when the first 3D images of the mudskippers revealed several unique adaptations to life outside of the water. "We found that their muscles in the pectoral fins are bigger, and the same is true for the shoulder girdle to which they attach," says Dr. Ziadi-Künzli.
After scanning the different fish, Dr. Ziadi-Künzli worked on images such as this to identify the different organs and tissues including muscles, bones, cartilage and tendons, inside the animals' bodies. Credit: Dr. Fabienne Ziadi-Künzli/OIST, Image taken with Thermo Fisher Scientific‘s AMIRA Software
The researchers were even more amazed when they discovered that in the mudskipper's pectoral fins, the ones they use to walk, some bone-connecting tendons were replaced by fascia tissue.
"We think this is an adaptation that helps the mudskippers to push themselves forward during walking because the fascia tissue gives more stability and might help to create the strength needed to move their mass on land," explained Dr. Ziadi-Künzli.
The higher intensity of gravity on land seems to have caused another adaptation in the mudskipper's bodies body. "There is a connection between the shoulder and the pelvic fin through a kind of joint that we don't see in any other fish we scanned," says Dr. Ziadi-Künzli. These changes hint at how severe the evolutionary pressure might be when organisms transition from water to land.
And the bones did not remain unaffected in the mudskipper either, whose fins need to carry much more weight while walking than swimming. "Usually pectoral fin rays are crescent-shaped if you look at a cross-section but, in the mudskipper, they were round near the fin ray base and then changed to crescent shape towards the tip of the fin ray.
"We think this might give the fin more mechanical stability," says Dr. Ziadi-Künzli. Other researchers have described similar shapes of fin ray bones, some fossils of extinct fish that were ancestors to land-walking animals.
All these discoveries left the team itching to dive even deeper into understanding the mudskipper's evolution. "When the mudskippers are in their larval state, they look no different from many other goby fish larvae, but during metamorphosis, they change their body and fin anatomy rapidly. We want to look at this development from larvae to adults to understand this transition better," says Dr. Ziadi-Künzli.
For these future tasks, Dr. Ziadi-Künzli and co-author Dr. Ken Maeda, who is a staff scientist in the Marine Eco-Evo-Devo Unit, set up a cross-laboratory collaboration to study the mudskipper metamorphosis from larvae to adult fish.
"Using these virtual dissection tools gives us a whole new perspective on the anatomy of animals—which is important work. After all, how shall we understand an organism and its evolutionary adaptations if we don't know how they are built?" says Dr. Ziadi-Künzli.
More information: Fabienne Ziadi‐Künzli et al, Anatomical insights into fish terrestrial locomotion: A study of barred mudskipper (Periophthalmus argentilineatus) fins based on μCT 3D reconstructions, Journal of Anatomy (2024). DOI: 10.1111/joa.14071
Provided by Okinawa Institute of Science and Technology